「健康で長生きしたい」という願いは誰もが持っているものです
日本人の平均寿命は世界に誇る長寿となっています。しかし、知らず知らずのうちにしのび寄る病気の影があることも忘れることはできません。ことに年々増加の傾向にある生活習慣病(心臓病、脳血管疾患、がん、糖尿病)などへの対策は今日さらに強く求められており、日常の自己管理に加えて定期的な健康診断は、病気の早期発見、早期治療に結びつく最も有効な方法です。
当院のドック(一日通院のみ)、健康診断、特殊検査(VDTなど)は、これらの生活習慣病などに対する社会的要望に応じるため、内科を中心に、外科、整形外科、婦人科、泌尿器科、耳鼻科、眼科などの総力をあげて実施しています。特に当院では、内科の消化器、内分泌、循環器、リウマチをはじめ超音波診断、乳がん検診、子宮がん検診、骨密度測定、前立腺検診等それぞれの専門分野を生かした診断の上で、専任の健診センター医師から懇切丁寧に適切な指導を行う体制を整えております。
当院は国家公務員及びその家族の福祉に貢献するための医療施設として設立されましたが、当初より一般の方にも広く解放されており、是非ご利用いただきますようご案内申し上げます。
健診センターのご案内について
NEW!!
新しいオプションが追加になりました土曜日人間ドック開始のお知らせ
- 日本消化器がん検診学会:認定指導施設
- お問い合わせ 「健診センター」 TEL:011-231-2594 FAX:011-231-2682
当院の健診において、放射線部では以下の検査を実施しています。
- 胸部X線検査
- 骨密度測定検査
- バリウム検査
- 低線量肺CT
- 内臓脂肪CT
- 大腸CT
- マンモグラフィ検査
- 脳ドック
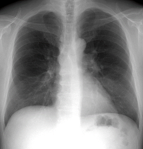
胸部X線検査
X線撮影検査の項目をご参照ください。
骨密度検査 (DEXA法) のご案内
〜 未来の健康のために、ご自身の骨の状態を知りましょう 〜
骨密度検査(DEXA法)とは?
骨密度検査は、骨の強さを示す「骨量」を測定する検査です。特にDEXA(デキサ)法は、2種類の異なるエネルギーのX線を用いて、骨と軟部組織を精密に区別し、非常に正確に骨密度を測定することができます。
この検査は骨粗しょう症の診断における最も標準的な方法とされており、腰椎(腰の骨)や大腿骨近位部(足の付け根の骨)など、骨折しやすい部位を直接測定します。
検査はベッドに仰向けになるだけで、痛みもなく5〜10分程度で終了します。放射線の被ばく量も、胸部X線撮影の約10分の1と非常に少なく、安心して受けていただけます。
なぜ骨密度検査が重要なのでしょうか?
骨粗しょう症は、骨がもろくなり骨折しやすくなる病気ですが、初期には自覚症状がほとんどありません。気づかないうちに進行し、くしゃみや転倒などのわずかな衝撃で骨折してしまうことがあります。
特に高齢者の骨折は、寝たきりや要介護状態につながる大きな原因となります。骨密度検査によって早期に骨量の減少を発見し、生活習慣の改善や適切な治療を開始することが、健康寿命を延ばすために非常に重要です。
このような方におすすめします
- 閉経後の女性
- ご家族に骨折の経験がある方
- 若い頃に比べて身長が縮んだ方
- 痩せ型の方や、無理なダイエット経験がある方
- 喫煙や過度の飲酒習慣がある方
- ステロイド薬を長期間服用している方
検査の流れと注意点
- 受付後、必要に応じて検査着に着替えます。
- 検査台の上に仰向けに寝ていただきます。
- 測定装置が体の周りをゆっくりと移動し、撮影します。(約5〜10分)
- 検査終了後、普段通りの生活が可能です。
【ご注意】
- 検査部位に金属類(ベルトのバックル、アクセサリー、カイロなど)があると正確な測定ができませんので、事前に外していただきます。
- 妊娠中、またはその可能性のある方は検査を受けられません。
- 最近バリウム検査などの造影剤を用いた検査を受けられた方は、事前にお申し出ください。
ご自身の骨の状態を正しく把握し、健やかな毎日を送るために、ぜひ骨密度検査をご検討ください。
ご不明な点がございましたら、お気軽にスタッフまでお声がけください。
胃・食道バリウム検査
胃・食道バリウム検査とは、胃を膨らませる発泡剤という薬とバリウム(造影剤)を飲んで、胃や食道の様子を観察する検査です。
飲んだバリウムが流れる動きは、実際に食べたものが食道や胃を通る動きと同じなので、狭窄部がないかなどの異常をチェックすることができます。
また、体を様々な方向に回転させたりすることで、胃の粘膜にバリウムが付着し、がんや潰瘍などで胃の中に凹凸ができている時に、画像で見つけることができます。
食道のバリウム検査 |
胃のバリウム検査 |
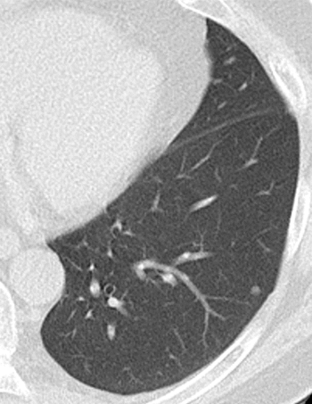
低被ばく肺CT検査のご案内
2024年のがん死亡数1位は肺がんで約7万5千人を超えています
【出典:国立がん研究センターがん情報サービス「がん統計」(厚生労働省人口動態統計)】
早期に発見して治療することにより肺がんで亡くなることを防ぐことができます。
自覚症状のないうちから検診を受けること重要です。早期肺がんは自覚症状がありません。
低線量CTとは?
通常のCTよりも被ばく線量を1/7に減らしながら、胸部X線画像では見逃されやすい早期の小さな肺がんや肺の異常を発見できる検査です。検査時間は5分程度です。
![]() |
![]() |
![]() |
こんな方におすすめします
☆喫煙者、過去に喫煙歴のある方
1日の喫煙本数×喫煙年数が600以上の重喫煙者の方は低線量CT検査に死亡率減少効果があり、1年に1回の検査が強く推奨されています
【出典:国立がん研究センター 肺がん検診ガイドライン2025年度版】
☆40歳以上の方
☆同居家族に喫煙者がいる(受動喫煙の可能性がある)方
☆建設工事現場などで粉じんや石綿のばく露のある(あった)方
腹部CT内臓脂肪測定のご案内
内臓脂肪は健康のカギになる!
同じBMIでもどこに脂肪がついているかで健康への危険性は大きく異なります。
肥満のタイプは「内臓脂肪型肥満」と「皮下脂肪型肥満」に分けられ、内臓脂肪型の方が糖尿病や脂質異常症・高血圧症・心血管疾患などの生活習慣病を発症するリスクが高いことがわかっています。(出典:日本肥満学会.肥満症診療ガイドライン2022)
腹部CT内臓脂肪測定とは?
目で見えない内臓脂肪を正確に測定できるのがCT検査です。
おへそを中心に数スライス撮影するだけで検査時間は5分程度です。
このようにお腹の中の脂肪の付き方が一目で分かります!
![]() |
![]() |
| どちらもBMIは正常範囲内ですがこちらは内臓脂肪量100㎠以上なので内臓脂肪型肥満となります。 |
すべての方を対象としていますがこんな方におすすめ!
・お腹の脂肪が気になる方
・BMIが25以上の方
・これからダイエットを始めようとしている方
大腸CT検査のご案内
✔ 大腸CT検査とは?
- CT装置でお腹を撮影し、コンピュータ処理によって3D画像で大腸を観察する検査です。
- 検査時間 10〜15分程度。
- 内視鏡検査が苦手な方も検査可能です。
✔ 検査の流れ
- 事前に下剤による前処置(900mlの下剤内服) を行います。
- 肛門に細いチューブを挿入し、炭酸ガスを注入して大腸をふくらませます。
- CT装置で大腸を撮影し、3D画像で大腸の中を観察します。
✔ 何がわかるの?
- 大腸ポリープや大腸がんの有無
- 大腸の形の異常(憩室、狭窄など)
- 内視鏡が入りにくい方でも 大腸全体を評価可能
✔ メリット(利点)
- 苦痛が少ない:細いチューブ挿入だけ
- 短時間で終了
- 鎮静剤を使用しないため、検査直後から車の運転や仕事が可能です
- 高い検査精度:10mm以上の大腸ポリープや大腸がんの検出精度は内視鏡検査と同等
- 内視鏡が不安な方・苦手な方、癒着などで内視鏡の挿入が困難な方でも検査可能
✔ デメリット(注意点)
- 病変が見つかった場合、その場での切除(治療)や組織検査はできない
→ 後日、内視鏡が必要になります - 前処置(下剤)が必要 → 内視鏡検査の前処置に比べ負担は少ない
- 空気を入れるため、お腹のハリ感 が出ることがあります
- 少量の放射線被ばく があります(妊娠中は検査不可)
- 5mm以下の小さな病変や平坦な病変は見つけにくい場合があります
✔ こんな方におすすめ
- 内視鏡検査が苦手・不安
- 内視鏡が途中までしか入らなかった
- 大腸がんのスクリーニングを希望
- 検診の便潜血が陽性だった方
大腸がんは早期発見で治療が可能です。
苦痛の少ない大腸CT検査で、安心のチェックを。
ご不明な点はスタッフにお声がけください。
当院は日本消化器がん検診学会認定の認定施設です
マンモグラフィ検査のご案内
当院では、乳がんの早期発見に効果的なマンモグラフィ検査を実施しています。特に従来の2D撮影に加え、より精度の高いトモシンセシスも導入し、皆様の健康をサポートいたします。
マンモグラフィ検査とは
マンモグラフィ検査は、乳腺専用のX線撮影です。一般的に片側の乳房につき、異なる方向から2枚撮影します。乳房を圧迫板で挟み、乳腺を平たく伸ばした状態で撮影します。圧迫することで診断に必要な鮮明な画像を得ること、乳腺の重なりを減らし病変を見やすくすること、放射線の被ばく量を低減することなどができるようになります。
トモシンセシスとは
Tomography(断層撮影)とsynthesis(合成)を合わせた造語で、3Dマンモグラフィとも呼ばれます。乳房を圧迫した状態で、様々な角度から連続的に撮影し、取得したデータを再構成して高精度の断層画像を表示する方法です。トモシンセシスでは乳腺の重なりを解消することができ、乳腺に隠れた病変の描出もしやすくなるため乳がんの発見率の向上や不要な再検査を減らすことが期待されます。
マンモグラフィ検査でわかること
・触ってもわからないような非常に小さな「しこり」や、悪性の可能性を示す「微細石灰化」といった異常を見つけるのに優れています。
・乳がんだけでなく、良性のしこりや石灰化も見つけることができます。
![]() |
![]() |
![]() |
検査の対象者
国の指針に基づき、40歳以上の女性に対し、2年に1回のマンモグラフィ検査の受診が推
奨されています。マンモグラフィは乳がんによる死亡率を減少させる効果が科学的に証明
されている検査方法です。
【ご注意】
以下に当てはまる方は、検査を受けられないまたは、相談が必要な場合がありますので事前にお知らせください。
・妊娠中、またか妊娠の可能性のある方
・授乳中の方
・ペースメーカ、植え込み型除細動器(ICD)などを装着されている方
・V-Pシャント、医療用ポートなどを装着している方
・豊胸手術等で乳房に人工物が入っている方
脳ドックMRI検査のご案内
脳ドックとは
|
脳血管疾患(脳卒中)の死亡率は、厚生労働省のデータ(令和6年、2024年)では、全死因の6.9%を占め、死因の第4位です。 脳ドックとは、脳疾患の早期発見に役立ち、健康を守る重要な手段です。特に脳卒中や認知症のリスクを早期に特定し、予防策を講じることができます。また、脳の健康状態を定期的にチェックすることで、生活習慣の改善や適切な医療ケアを受けるきっかけにもなります。 |
![]() |

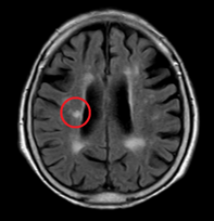
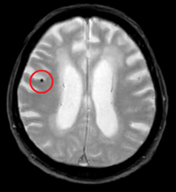
何がわかるのか
・無症候性脳梗塞(ラクナ梗塞)
症状がなくても脳の血管が詰まることがあり、将来の脳卒中や認知症のリスクを高めます。
・脳動脈瘤
脳の血管にできるこぶで、破裂するとくも膜下出血の原因となることがあります。
・脳腫瘍
脳にできる腫瘍で、脳ドックで偶然発見されることもあります。
・脳微小出血
微細な脳出血のことで、脳卒中のリスクを高めることがあります。
・頸動脈の狭窄
頭に血流を送る頸部の血管が狭くなっている状態で、動脈硬化が原因のことが多く、将来の脳梗塞のリスクとなります。
実際の異常所見
![]() 無症候脳梗塞 |
![]() 微小脳出血 |
![]() 脳動脈瘤 |
無症状でもこのような所見がみられることがあります。このように早期で発見し適切な対策を行うことで、病気の進行を遅らせたり、予防することが可能になります。
☆当院のMRI検査について☆
検査時間は15分から20分程度です。検査中は工事現場のような大きな騒音があるため、ヘッドホンもしくは耳栓を着用します。検査中に聞きたい音楽がございましたらご希望のCDを持参してください。
![]() ヘッドホン |
![]() 耳栓 |
![]() ナースコール |














